Dear All
The Part 8 of ” Similes & Metaphors of Pathology” is here. ENJOY LEARNING 🙂
Note: Mobile users please use landscape mode for complete view.
More interesting ones to come in Part 9!….
Comments and suggestions are welcome.
Fern |
Ferning effect/fern pattern of cervical mucus ( source) |
Ferning effect/fern pattern of cervical mucus
During ovulation, when the cervica mucus is collected on the glass slide and allowed to dry, a pattern forms that resembles the fronds of fern, when observed under microscope. This is called fern test. One of the important diagnostic criteria for ovulation. The ferning pattern occurs because when estrogen levels peak the amount of salinity in mucus also increases which crystallizes on drying. |
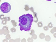
Flame |
Flame cell ( Source ) |
Flame cells- in plasma cell myeloma“flame cell” Here , the nucleus is eccentrically embedded, acidophilic coloured border of cytoplasm/vermilion staining glycogen-rich IgA
They are classically found in association with IgA myelomas. The characteristic staining feature of flaming is due to high carbohydrate content of IgA molecules. Can be rarely seen in reactive plasmacytosis |
Church Spire |
Church spire Pattern ( source ) |
SPIRE is a tapering conical or pyramidal structure on the top of a building or a church towerThe epidermal changes with hyperkeratosis, acanthosis, low papillomatosis resemble that of church spires.
Seen in various conditions like senorreheic keratosis, acanthosis nigricans, acrokeratosis verruciformis of Hopf, verruca vulgaris, actinic keratosis etc |
JigSaw Puzzle |
Jigsaw puzzle pattern in cylindroma( Source ) |
Jigsaw puzzle pattern in cylindromaThese are adnexal tumors more commonly occurring in head and neck region. Also referred to as turban tumor
The features are monomorphous appearing basaloid islands, thickened eosinophilic basement membrane surrounding the lobules and a jigsaw puzzle-like pattern of growth and eosinophilic hyaline-like globules. |
Cracked Desert sand |
![]() Cracked desert sand appearance of colloid in colloid goiter ( Source ) |
Cracked desert sand appearance of colloid in colloid goiterThe stained smears containing colloid shows cracking artefact, which resembles that of cracked desert sand
Also referred to as crazy pavement pattern. |
Cerebrum |
Cerebriform nuclei in T cell Leukemia/Lymphoma ( Source )
|
Cerebriform nuclei in T cell Leukemia/LymphomaOn histopathological examination of lymphnodes in T cell lymphoma, shows a diffuse proliferation of atypical medium-sized to large lymphoid cells with irregular nuclei, intermingled with cerebriform giant cells where the nuclei resembles that of a cerebrum, and hence the name. |
Picket fence |
Picket fence palisading pattern of endocervical cells ( source ) |
Picket fence palisading pattern of endocervical cells in pap smearsAlso seen in basal cell carcinoma showing the classical arrangement of peripheral basaloid cells in a palisading configuration |
Target |
Target cells ( Source ) |
Target cells : red blood cells that have the appearance of a shooting target with a bullseye.Also referred to as codocytes or Mexican hat cells.
These cells have a dark center (a central, hemoglobinized area) surrounded by a white ring (relatively pale area), followed by dark outer (peripheral) second ring containing a band of hemoglobin Found in Thalassemias, post splenectomy, hemoglobin C disease and in some liver diseases. |
Ghost |
Ghost Cells in pilomatrixoma ( source ) |
Ghost cells in Pilomatricoma.
Ghost cell:is a swollen/enlarged epithelial cell with eosnophilic cytoplasm, but without a nucleus Also called as shadow cells Seen in pilomatricomas, calcifying cystic odontogenic tumor and craniopharyngiomas. |
